念珠菌和霉菌让很多人傻傻分不清楚,虽说念珠菌和霉菌都属于真菌,但两种无论从发病机制还是生物学性状来看都不一样,所以需要判断出自己感染了哪种真菌才好进行下一步治疗。

念珠菌(Candida)是一种真菌属,而霉菌(Mold)则是真菌门中的一个类群,它们并不是同一种菌类。虽然霉菌和念珠菌都属于真菌界,但它们在生物学特征、形态结构、生长环境、病理学表现等方面存在差异。
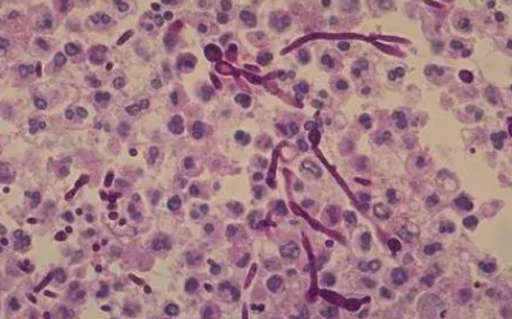
念珠菌是一种单细胞真菌,通常以酵母菌的形态出现,是常见的病原菌之一,可以引起口腔、消化道、生殖器等部位的感染。霉菌则是一种多细胞真菌,其形态通常呈菌丝状,常生长在自然环境中的有机物表面,如土壤、植物和动物的遗体上。霉菌也可以成为病原菌,引起肺部、皮肤等部位的感染。

霉菌性炎症是一种由霉菌感染引起的炎症性疾病,通常出现在皮肤、口腔、生殖器、消化道等部位。这种疾病不仅会发生在女性身上,也会发生在男性身上。
在男性身上,霉菌性炎症通常会出现在生殖器上,导致龟头和包皮发炎、瘙痒、灼热、疼痛等症状,严重时甚至会出现溃疡和排泄物异常。霉菌性炎症的原因可能是男性生殖器部位的清洁不当、抵抗力下降、使用过度清洁剂、过度洗涤或使用不洁的避孕套等。
男性若出现上述症状,应及时就医,接受医生的诊治和治疗。通常治疗霉菌性炎症可以使用抗真菌药物,如咪康唑等。此外,男性在平时应注意生殖器的清洁卫生,尤其是在性行为后应及时清洗干净。

霉菌性炎症是一种真菌感染引起的炎症性疾病,若男性患有霉菌性炎症并与女性进行性接触,则可能会传染给女性。同样地,若女性患有霉菌性炎症并与男性进行性接触,则也可能会传染给男性。
在性行为过程中,霉菌可以通过性器官接触传播给对方。一般来说,霉菌感染在男性和女性身上的症状并不完全一样,因此在出现症状时应及时就医,接受医生的诊治和治疗。同时,男性和女性都应该注意性器官的清洁卫生,避免使用不洁的避孕套和性器具。
总之,若一方患有霉菌性炎症,进行性行为时可能会传染给对方,因此建议双方在接受治疗前避免性行为,以免疾病传播。
相关热词:霉菌念珠菌炎症
茱萸对耳鸣眩晕有帮助吗
时间:2025-12-07
儿童吃茱萸有什么注意事项
时间:2025-12-07
孕妇可以服用茱萸吗
时间:2025-12-07
茱萸吃多了会出现哪些反应
时间:2025-12-07
银杏的主要健康功效有哪些
时间:2025-12-07
立冬如何做好皮肤护理
时间:2025-12-07
吃银杏真的能改善记忆力吗
时间:2025-12-07
银杏能促进血液循环吗
时间:2025-12-07
银杏对抗衰老有帮助吗
时间:2025-12-07
银杏对降血压有帮助吗
时间:2025-12-07